
Nuclear medicine provides detailed images of organ function, aiding early detection and precise care.
Nuclear medicine provides detailed images of organ function, aiding early detection and precise care.
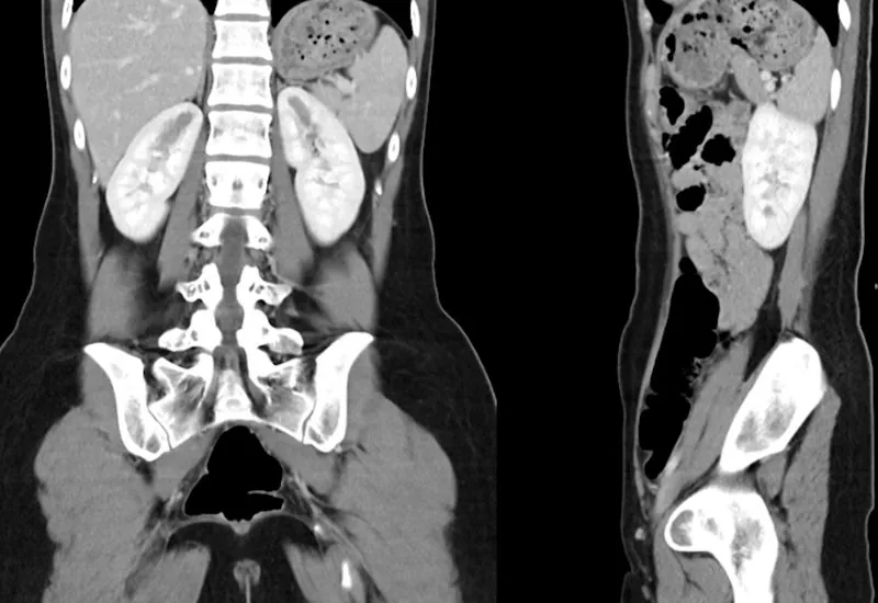
Nuclear medicine uses small amounts of radioactive tracer to evaluate organ function and detect diseases. Scans are safe and the tracer exits the body naturally in hours or days.
Preparation
Varies by exam. A tracer may be injected or swallowed, and you may wait before imaging. Most scans take about 60 minutes.
Call To Schedule
Fairfield / Interventional Imaging– 1055 Post Rd.
Orange – 297 Boston Post Rd.
Shelton – 4 Corporate Dr., Suite 182
Stamford – 1259 E Main St.
Stratford – 2876 Main St.
Trumbull / Women’s Imaging –
15 Corporate Dr.
Wilton – 60 Danbury Rd.
Fairfield / Interventional Imaging– 1055 Post Rd.
Orange – 297 Boston Post Rd.
Shelton – 4 Corporate Dr., Suite 182
Stamford – 1259 E Main St.
Stratford – 2876 Main St.
Trumbull / Women’s Imaging – 15 Corporate Dr.
Wilton – 60 Danbury Rd.
Quick Links



